Emeklilere Ötv’siz Araç Geliyor!..
110 Yaşındaki Şemsi Nine’den Gençlere Hayat D..
Halluks Valgus Nedir, Neden Olur, Nasıl Geçer..
Yeterki Gönülden Yapın İyiliği..
25 KURUŞU OLAN TURNAYI GÖZÜNDEN VURDU..
En Güvenilen Ünlüler Açıklandı..
Garantili Arabam ile Güvenli Oto Ekspertiz De..
Ev almak isteyen dar gelirliler için yeni sis..
Askeri Plaket ve Şilt: Hizmet Anılarına Saygı..
Emeklilere Sıfır Araç Desteği..
Haberler
Anasayfa
Mobil Site
Künye
İletişim
Yeni Kayıt
Üye Girişi
ANASAYFA
EKONOMİ
SPOR
MAGAZİN
EĞİTİM
DÜNYA
SAĞLIK
GALERİLER
WEB TV
TÜMÜ
EKONOMİ
SPOR
MAGAZİN
EĞİTİM
DÜNYA
SAĞLIK
TEKNOLOJİ
YAŞAM
KÜLTÜR - SANAT
HİKAYE
DİĞER
İLGİNÇ
BUNU BİLİYOR MUYDUNUZ?
KADIN
GÜNCEL
SONDAKİKA
MANŞETLER
SÜRMANŞETLER
GALERİLER
WEB TV
NELER OLUYOR?
İLETİŞİM
ÜYELER
KÜNYE
SAĞLIK SONDAKİKA HABERLER -
SAĞLIK
MANGALDA ET BÖBREK KANSERİ YAPIYOR...!!!
SAĞLIK
ÇOCUKLARINIZI KATKILI, HAZIR GIDALARDAN UZAK TUTUN!
SAĞLIK
İTALYAN DOKTORDAN ŞOK İDDİA! KANSER KOLAYCA ORTADAN KALDIRILABİLEN BİR MANTARDIR !
SAĞLIK
Orta Asya'dan Dünyaya TARHANA. Tarhana sadece çorba değildir.
SAĞLIK
KANSERDEN KORKMAYIN SADECE HAYATINIZI VE KENDİNİZİ KORUYUN
SAĞLIK
AŞIRI İŞTAHLI OLANLAR,MİDE AĞRISI ÇEKENLER...
AŞIRI İŞTAHLI OLANLAR,MİDE AĞRISI ÇEKENLER...
SAĞLIK
YAŞLILIK LEKELERİNE KARŞI DOĞAL KÜR TARİFİ
YAŞLILIK LEKELERİNE KARŞI DOĞAL KÜR TARİFİ
SAĞLIK
AĞIR HASTALIK GEÇİRENLERİN HAYATI BOYUNCA YAPMASI GEREKENLER ;
SAĞLIK
Önemli! Mutlaka Okumalısınız. Kanser hiç yoktan artmadı !
SAĞLIK
KABAK ÇEKİRDEĞİ MUCİZESİ...
SAĞLIK
Az önce bir anne çocuğuna 1 koli meyve suyu aldı... Şimdi bu anne çocuğunu seviyor mu?
SAĞLIK
BEL AĞRISININ İLACI : TÜM DÜNYA YENİDEN DOĞAL ÇÖZÜMLERE YÖNELDİ..BEL AĞRISININ İLACI
SAĞLIK
Beyin hasarına neden olan 7 etken
SAĞLIK
Uykusuzluk, Anksiyete ve Kan Basıncını Düzeltmek için Kediotu Kökü
SAĞLIK
Defne Yaprağını Yakıp 10 dk Bekleyin Ve Mucizeye Tanıklık Edin
SAĞLIK
El-Biruni – Avrupalı bilim adamlarına ilham olan Türk alimi.
SAĞLIK
ŞUNLARI YAPTIKTAN SONRA HİÇBİR HASTALIĞINIZ KALMAZ..!.
SAĞLIK
Çocuğunuzun boyu size bağlı
SAĞLIK
Vücudumuzdaki Ölüm Belirtileri, İşaret Yerleri! Çözüm: Beden Temizliği
SAĞLIK
Hayvanlardan insanlara bulaşan hastalıklar neler?
SAĞLIK
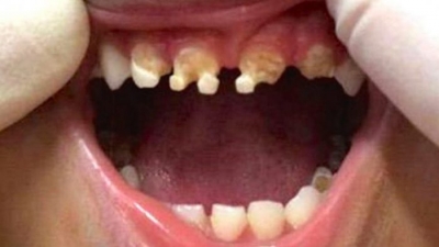
3 Yaşındaki Çocuğun Dişlerini Gören Doktor, Anneye Bu İçecekten Verip Vermediğini Sordu
Anne babalar sırf çocukları istiyor diye onları kendi elleriyle zehirliyor.
SAĞLIK
KELLE PAÇA UNUTULDU SAĞLIK BOZULDU....
SAĞLIK
İki kez kalp krizi yaşamış bir insan olarak bu önlemi bizzat acil serviste yaşadım.
SAĞLIK
ALKIŞLAYINCA YADA OYNAYINCA NE OLUYOR.?
Arkadaşlar ayrıntıya girmeden, kapa taslak elimizin içindeki organların yerlerini verdim resimde .İşte alkışladığımızda yada oynadığımızda tüm bu organlarımıza masaj yapıyor ve onl
SAĞLIK
TOPUK DİKENİNE DOĞAL ÇÖZÜMLER
SAĞLIK
AÇLIK KANSER TEDAVİSİNİ DAHA ETKİLİ KILIYOR
SAĞLIK
İNSAN NESLİNİ YOK EDEN TUZ
SAĞLIK
DOĞANIN NİMETLERİ
SAĞLIK
Konyalı 2 lise öğrencisi, meme kanserine bitkisel çözüm buldu
SAĞLIK
PROF. DR. ERKAN TOPUZ : HAYATIMIZLA OYNUYORLAR!
Baktım markette zencefilli gazoz da var, ithal etmiş büyüklerimiz,sağ olsunlar. İçinde zencefil var mı? Yok. Aroması da, rengi de yapay. Ama kendisi doğala özdeş.
<<ilk
<geri
10
11
12
13
14
ileri >
son >>
İLGİNİZİ ÇEKEBİLİR
X
110 Yaşındaki Şemsi Nine’den Gençlere Hayat Dersi: İşte Asırlık Çınarın Sağlık Sırrı!
25 KURUŞU OLAN TURNAYI GÖZÜNDEN VURDU