Masum bilinen bir çok yiyecek ve içeceğin zararlarını bir bilseniz
Yiyecek ve içeceklerdeki yer alan aşırı miktardaki şekerin sağlığımıza zararından bahsetmeye bile gerek yok. Aşırı şeker tüketimi, kardiyovasküler rahatsızlıkların yanı sıra obeziteye de sebep oluyor. Hatta aşırı şeker tüketimini önlemek için, şekere uluslararası bağlamda aşırı vergi yüklenmesi önleminin alınacağı bile konuşuluyor. Aşırı şeker tüketimi sonucu başımıza gelecek olanlar sadece kardiyovasküler rahatsızlıklar ve obezite değil tabii ki. Çocukların dişleri de en fazla zarar görenlerden. Yeni Zelanda’daki diş hekimi 3 yaşındaki çocuğu muayene ettikten sonra bütün anne babaları bu konuda uyarmaya başladı.
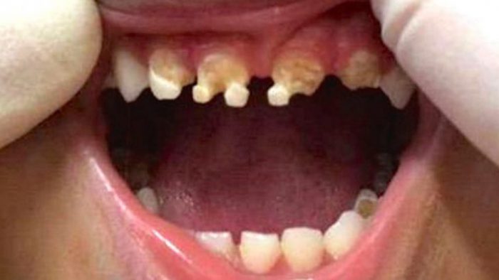
3 yaşındaki bir erkek çocuğu oral muayene için Yeni Zelanda’daki bir hastaneye götürüldü. Diş hekimi, küçük çocuğu tam 11 dişinin çürümekte olduğunu tespit etti.
Küçük çocuk aşırı miktarda gazlı ve şekerli içecek tükettiğinden dolayı, Dr. Robert Beaglehole’un çocuğun çürük dişlerini çekmekten başka şansı kalmadı. Yine aynı yıl içerisinde, Dr. Beaglehole benzer vakalardan dolayı çeşitli çocukların toplamda 60 adet dişini çekti. Olay sadece Yeni Zelanda’daki çocukların başına gelmiyor.
ABD’nin belirli bölgelerinde de yine benzer vakalar görüldü. Artık, bu diş rahatsızlığının özel bir adı bile var : “Mountain Dew Mouth”.
Diş hekimleri, diğer çocukların da benzer olaylarla karşılaşmamaları için anne ve babaları uyarıyor. Çocuklarına dişlerini düzenli olarak fırçalamayı öğretmeyi, diş ipi kullanmayı teşvik etmelerini ve sık sık diş hekimine göstermeye davet ediyor.
Yeni Zelanda’daki özel bir diş hastanesinde görevini sürdüren Dr. Robert Beaglehole, ebeveynlerin çocuklarına gazlı ve şekerli içecekler yerine süt veya su vermelerini öneriyor.
Unutmayın ki ‘şekersiz’ etiketli ürünler de dişlerinize zarar veriyor.
Bu tehlikenin farkında olabilirsiniz ancak maalesef bazı ebeveynler tehlikeden habersiz. Yazıyı tanıdığınız bütün ebeveynlerle paylaşarak, benzer olayların çocuklarına başına gelmemesinde bir pay sahibi olabilirsiniz.










