En Güvenilen Ünlüler Açıklandı..
Garantili Arabam ile Güvenli Oto Ekspertiz De..
Ev almak isteyen dar gelirliler için yeni sis..
Askeri Plaket ve Şilt: Hizmet Anılarına Saygı..
Emeklilere Sıfır Araç Desteği..
IBAN'a Para Gönderenler Dikkat!..
En Tehlikeli ve En Güvenli İlçeler Hangileri..
İstanbul'daki son depremi bilen Şener Üşümezs..
12 Bin TL Taksitle Ev Sahibi Olma Fırsatı Baş..
Son Dakika: Yarın Çok Sayıda İl ve İlçede Oku..
Haberler
Anasayfa
Mobil Site
Künye
İletişim
Yeni Kayıt
Üye Girişi
ANASAYFA
EKONOMİ
SPOR
MAGAZİN
EĞİTİM
DÜNYA
SAĞLIK
GALERİLER
WEB TV
TÜMÜ
EKONOMİ
SPOR
MAGAZİN
EĞİTİM
DÜNYA
SAĞLIK
TEKNOLOJİ
YAŞAM
KÜLTÜR - SANAT
HİKAYE
DİĞER
İLGİNÇ
BUNU BİLİYOR MUYDUNUZ?
KADIN
GÜNCEL
SONDAKİKA
MANŞETLER
SÜRMANŞETLER
GALERİLER
WEB TV
NELER OLUYOR?
İLETİŞİM
ÜYELER
KÜNYE
GÜNCEL SONDAKİKA HABERLER -
GÜNCEL
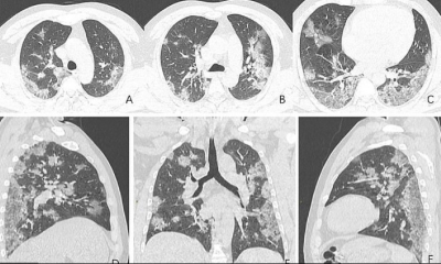
Corona Virüsle İlgili Korkunç Gerçek Ölen Hastanın Röntgeni Sayesinde Ortaya Çıktı
Dünyayı tehdit eden corona virüs neredeyse tüm dünyaya yayıldı
GÜNCEL
Son Dakika: Valilik Acı Haberi Duyurdu Şehidimiz Var
Barış Pınarı hareketinde bombalı saldırı sonucu 1 askerimiz şehit düştü
GÜNCEL
FIRSATÇILARI ŞİKAYET EDİN, LÜTFEN İHTİYACINIZDAN FAZLA KORUYUCU ÜRÜN ALMAYIN
GÜNCEL
Türkiye'yi Coronadan Sonra Yeni Bir Tehlike Daha Bekliyor
2020 yılı uğursuzlukları devam ediyor.
GÜNCEL
Çin'de Yaşayan Ve Coronavirüsü Dünyaya Duyuran Türk Öğretmenle İlgili Flaş Gelişme
Coronavirüsü dünyaya video çekip duyurmaya çalışan Türk öğretmenin Çin'e girmesi yasaklandı.
GÜNCEL
Çocuk Kitabında Skandal İfadeler
Çocuk kitaplarındaki skandal ifadelere yer verildi. Skandal kitabın içeriğinde yazanlar yenilir yutulur cinsten değil
GÜNCEL
Dünyanın Kabusu Haline Gelen Corona Virüsü'nde aylar sonra iyi haber geldi!
Dünyanın kabusu haline gelen coronavirüsle ilgili iyi haberler geliyor. İsrail coronavirüsün aşısını buldu iddia ediliyor
GÜNCEL
Sağlık Bakanı O Ürün Corona Virüse Karşı Faydalı Dedi Vatandaş Akın Etti: Resmen Fiyatları Uçtu
Sağlık Bakanı O Ürün Corona Virüse Karşı Faydalı Dedi Vatandaş Akın Etti
GÜNCEL
Son Dakika: Corona Virüs İstanbul'da Çıktığı İddia Edildi, Resmi Açıklama Yapıldı
Corona virüs hakkında yapılan iddialara her geçen gün yenileri eklenmeye devam ediyor
GÜNCEL
Son dakika! Tüm gözler corona virüsü toplantısında! Bakanlardan flaş Corona açıklaması
Sağlık Bakanlığı Koronavirüs Bilim Kurulu toplantısı 13.30'da Sağlık Bakanı Fahrettin Koca, Milli Eğitim Bakanı Ziya Selçuk, Ticaret Bakanı Ruhsar Pekcan ile Kültür ve Turizm Bakan
GÜNCEL
Son dakika haberleri: Corona virüsü toplantısı sürerken Sağlık Bakanı Fahrettin Koca bu mesajı paylaştı
GÜNCEL
Amerika'da Şaka Gibi Coronavirüs Kararı
Corona virüs konferansı corona virüs nedeniyle iptal edildi
GÜNCEL
Ligler ertelenecek mi ? Bakan Kasapoğlu'ndan Son Dakika Açıklaması
Ülkemizde korona virüs görülmesinin ardından bir açıklamada Gençlik ve Spor Bakanı Kasapoğlu'ndan geldi
GÜNCEL
Coronavirüste en tehlikeli yaş grubu belli oldu.İşte en tehlikeli yaş grubu
GÜNCEL
Son Dakika: Umreden Dönen Kadın Korona Virüs Şüphesiyle Karantinaya Alındı
Sakarya'da umreden dönen kadın öksürük şikayetiyle hastanede karantinaya alındı
GÜNCEL
Son Dakika : İddialara Göre Koronavirüslü Hastanın Hangi İlimizde Olduğu Belli Oldu
Son Dakika : İddialara Göre Koronavirüslü Hastanın Hangi İlimizde Olduğu Belli Oldu
GÜNCEL
Ülkemizde ilk coronovirüs vakası görüldü. Öncelikle yapmamız gereken
GÜNCEL
Korona virüs Türkiye'de görüldü: Bu Dakikadan Sonra Yapılacaklar neler mi?
GÜNCEL
Kars'ta Korkutan Deprem
Dün gece Kars'ta korkutan bir deprem meydana geldi
GÜNCEL
Bu Geceden İtibaren Geçerli Olacak Benzin Ve Motorine Büyük İndirim Geliyor: İşte Güncel Fiyatlar
Cumhurbaşkanı Erdoğan'ın açıklamasının ardından bu geceden itibaren geçerli olacak benzin ve motorine büyük zam yapılacak
GÜNCEL
Bakan Koca’dan Şok Eden Corona Virüsü Açıklaması: Türkiye’de Olma İhtimali Çok Yüksek
GÜNCEL
Korkunç Olay: 6 Aylık Bebek 4 Yaşındaki Abisinin Kollarından Balkondan Düştü, Anne Durumu Görünce
Korkunç Olay: 6 Aylık Bebek 4 Yaşındaki Abisinin Kollarından Balkondan Düştü, Anne Durumu Görünce
GÜNCEL
Aile Hekimlerinden Çok Önemli Ve Kritik Uyarı Geldi. Milyonlarca Vatandaşı İlgilendiren Coronavirüs Gerçeği
Aile hekimleri koronavirüsle ilgili korkutucu gerçeği açıkladı
GÜNCEL
SARIMSAK KOKUSUNU NASIL GİDEREBİLİRSİNİZ
GÜNCEL
9 Yaş altında görülmeyen corona virüs 3 yaşındaki bir çocukta tespit edildi
GÜNCEL
1958 yılında Lübnan’da Müslüman Araplarla Hıristiyan Araplar arasında savaş çıkmıştı.
GÜNCEL
Kadınlar Günü Faciaya Dönüştü
GÜNCEL
Biz Suriye’de önyargılı yaşıyorduk. Birbirimize tahammülümüz kalmamıştı.
GÜNCEL
Corona virüsten korunmak için bunu yaptılar, feci şekilde canlarından oldular
Corona virüs kabusu hızla devam ediyor. Corona virüsden etkilenmemek için Endüstriyel alkol içtiler ve feci şekilde can verdiler
GÜNCEL
Hastanede Göz göre göre skandal! İlk kurban konuştu ihmaller zinciri ortaya çıktı
Göz göre göre skandal! İlk kurban konuştu ihmaller zinciri ortaya çıktı
<<ilk
<geri
136
137
138
139
140
ileri >
son >>
İLGİNİZİ ÇEKEBİLİR
X
12 Bin TL Taksitle Ev Sahibi Olma Fırsatı Başladı!
Araçlarda Alkol kilidi zorunlu oluyor: İşte şaşırtan fiyatlar!