Dünya Sağlık Örgütü tarafından resmen pandemi (büyük ölçekli salgın) olarak ilan edilen corona virüsü ile ilgili kötü haberlerin yanı sıra iyi haberler de gelmeye başladı. Salgının çıktığı Hubei eyaletinde aylar sonra üretime devam edilme kararı alındı. Bu açıklamadan çok kısa bir süre sonra ise İsrail'in çok okunan gazetelerinden Haaretz, İsrailli bilim insanlarının corona virüsüne karşı bir aşı geliştirdiğini duyurdu.
Çin’in Hubei eyaletindeki Wuhan kentinde başladıktan kısa bir süre sonra salgın bir hastalık halini alan corona virüsü (Co-vid19) ile ilgili Çin’den yeni bir açıklama geldi. Çin hükümetinin resmi yayın organlarından biri olan Global Times, Hubei eyaletinde üretime devam edilme kararı aldığını okurlarına aktardı.
“İSRAİL’DE AŞI BULUNDU” İDDİASI
Öte yandan İsrail’in çok okunan İngilizce yayın yapan gazetelerinden Haaretz, manşetlerinden duyurduğu haberde, İsrailli bilim insanlarının corona virüsü ile ilgili bir aşı geliştirdiğini okurlarına aktardı. Haaretz’in manşetlerden gösterdiği haberde, Biyolojik Araştırma Enstitüsü’nde görevli bilim insanlarının virüsü anlamak için önemli adımlar attığı belirtildi.
Gazeteye konuşan kaynaklar, uzun klinik öncesi ve klinik testlere ihtiyaç olduğunu söyledi. Gazeteye konuşan kaynaklar, bilim insanlarının virüsün biyolojik mekanizması ile değerleri anlama konusunda önemli adımlar attığını söylerken, “Tanı özellikleri, antikor üretimi ve aşı üretimi” gibi konularda önemli adımlar atıldığını aktardı.
Fakat üretilecek aşının gerçekten etkili olması ya da kullanımının komplikasyon yaratmayacağından emin olmak için bir dizi testler yapılması gerektiği belirtildi. Uzmanlar bu testlerin aylar sürebileceğini de vurguladı.
Haaretz’e açıklama yapan Savunma Bakanlığı, “Henüz bir aşı bulunması gibi bir durum söz konusu değil. Ensitütünün çalışması düzenle ilerliyor. Eğer bir açıklama yapılması gerekirse bu bilindik yöntemlerle yapılır. Biyolojik enstitümüz dünyanın önde gelen araştırma ve gelişme merkezidir. Virüsle mücadele edecek aşıyı bulmak için 50’den fazla deneyimli bilim insanı çalışıyor” ifadesini kullandı.
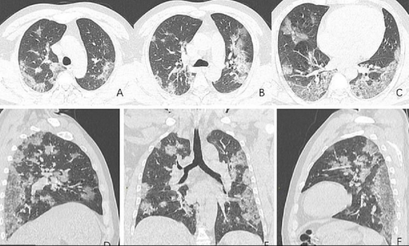
CORONA CİĞERLERE ETKİSİ ORTAYA ÇIKTI
Öte yandan merkezi ABD’de bulunan Kuzey Amerika Radyoloji Topluluğu tarafından paylaşılan röntgen görüntüleri corona virüsünün ciğerlere nasıl etki ettiğini gözler önüne serdi. Uluslararası basın kuruluşlarına yansıyan görüntülerde Whan’daki deniz ürünleri pazarında çalışan 44 yaşındaki bir corona virüsü hastasının ciğerlerindeki doluluk oranı görülüyor.
Sözcü




















